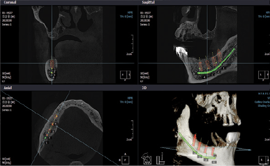
Il Tomografo Cone Beam (detto anche CBCT Tomografia Computerizzata Cone Beam) è un macchinario in grado di ottenere immagini del massiccio facciale attraverso l’emissione di una dose molto bassa di raggi X, restituendo immagini 3D di altissima qualità delle ossa mascellari e dei denti.
Quando viene utilizzato?
L’esame eseguito con il Tomografo Cone Beam è molto flessibile risultando dunque necessario, per differenti tipologie di impiego tra le quali:
- Pianificazione terapeutica mediante trattamenti implantari
- Programmazione di chirurgia implatare guidata
- Follow up di trattamenti implantari
- Individuazione di fistole, sinusite mascellare odontogena e processi infiammatori periradicolari
- Studio anomalie della dentizione (anomalie di posizione dei denti del giudizio o dei canini)
- Studio di aree di sclerosi e disomogeneità ossea dei mascellari
- Studio in 3D delle articolazioni temporo-mandibolari
- Studio in 3D dei seni mascellari




